The PRAETORIAN score

On this website, you will explore the PRAETORIAN score in depth. You can find the chest X-ray requirements and subsequently calculate the score with the calculator.

In the Instruction module, you can learn about the background and rationale behind the score, how to calculate it, and how to interpret its outcome. Once you have completed the instruction, you can continue with to the practice exams.

Calculator Thumbnail

The PRAETORIAN score calculator

Calculate the PRAETORIAN score on your mobile device to find the risk of conversion failure.

DFT Handleiding Thumbnail

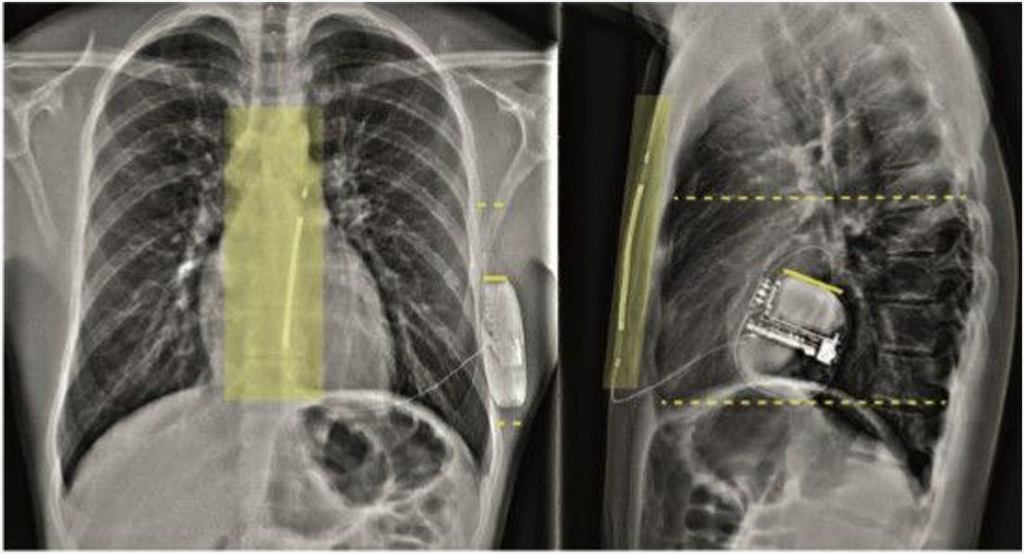
Chest X-ray requirements

5 minutes

View the Instruction notes with the steps to calculate the PRAETORIAN score.

PRAETORIAN Score Summary Figure
*Source Adapted from: 'Predictive Value of the PRAETORIAN Score for Defibrillation Test Success in Patients with Subcutaneous ICD: A Subanalysis of the PRAETORIAN-DFT Trial,' Heart Rhythm.
Instruction Module Thumbnail

Instruction module

20 minutes

Learn how to calculate and interpret the PRAETORIAN score with detailed instructions and examples.

Practice Thumbnail

Practice test cases

15 minutes

Practice the PRAETORIAN score. You can make this test exam as often as you want.

Fat Tissue DFT Thumbnail

The effect of fat tissue on the defibrillation threshold

1.35 minutes

Watch the animation about the effect of fat tissue on the defibrillation threshold.

Generator Positioning DFT Thumbnail

The effect of generator positioning on the defibrillation threshold

0.5 minutes

Watch the animation about the effect of generator positioning on the defibrillation threshold.